Diagnóstico y tratamiento interceptivo de mordida cruzada anterior durante la dentición mixta: Reporte de Caso
El presente reporte de caso describe el diagnóstico y tratamiento interceptivo de una paciente femenina de 8 años y 10 meses en dentición mixta, quien acudió a consulta por alteración en la mordida. Tras el análisis clínico, radiográfico y cefalométrico, se diagnosticó una maloclusión Clase I esqueletal con mordida cruzada anterior, asociada a gingivitis inducida por placa y alto riesgo cariogénico. El análisis facial mostró simetría y perfil convexo, mientras que el examen intraoral evidenció arcos dentales en forma de U y adecuada relación molar bilateral. Se descartó una clase III funcional mediante manipulación mandibular. El plan de tratamiento incluyó medidas preventivas, profilaxis, sellantes, extracciones selectivas y el uso de aparatología removible tipo Hawley modificada, con tornillo de expansión y planos de mordida. Tras seis meses de tratamiento y activaciones periódicas, se logró la corrección de la mordida cruzada anterior. Este caso resalta la importancia de la ortodoncia interceptiva en edades tempranas para prevenir alteraciones esqueletales mayores y favorecer un adecuado desarrollo funcional y estético del sistema estomatognático.
Descargas
Caso Clínico
Diagnóstico y tratamiento interceptivo de mordida cruzada anterior durante la dentición mixta: reporte de caso
Diagnosis and interceptive treatment of anterior cross bite during mixed dentition: case report
Analía Rodríguez
Universidad de Panamá, Facultad de Odontología, Panamá
https://orcid.org/0009-0004-0840-2925 analia.rodriguez@up.ac.pa
Recepción: 23 julio 2025
Aceptación: 1 de noviembre de 2025
DOI: https://doi.org/10.48204/2710-7825.9470
Resumen
El presente reporte de caso describe el diagnóstico y tratamiento interceptivo de una paciente femenina de 8 años y 10 meses en dentición mixta, quien acudió a consulta por alteración en la mordida. Tras el análisis clínico, radiográfico y cefalométrico, se diagnosticó una maloclusión Clase I esqueletal con mordida cruzada anterior, asociada a gingivitis inducida por placa y alto riesgo cariogénico. El análisis facial mostró simetría y perfil convexo, mientras que el examen intraoral evidenció arcos dentales en forma de U y adecuada relación molar bilateral. Se descartó una clase III funcional mediante manipulación mandibular. El plan de tratamiento incluyó medidas preventivas, profilaxis, sellantes, extracciones selectivas y el uso de aparatología removible tipo Hawley modificada, con tornillo de expansión y planos de mordida. Tras seis meses de tratamiento y activaciones periódicas, se logró la corrección de la mordida cruzada anterior. Este caso resalta la importancia de la ortodoncia interceptiva en edades tempranas para prevenir alteraciones esqueletales mayores y favorecer un adecuado desarrollo funcional y estético del sistema estomatognático.
Palabras clave: Maloclusión, Mordida Cruzada Anterior, Ortodoncia Interceptiva, Dentición Mixta
Abstract
This case report describes the diagnosis and interceptive treatment of an 8-year-10-month-old female patient in mixed dentition who presented with an altered bite. Clinical, radiographic, and cephalometric analyses led to the diagnosis of a skeletal Class I malocclusion with anterior crossbite, associated with plaque-induced gingivitis and high caries risk. Facial analysis revealed symmetry and a convex profile, while intraoral examination showed U-shaped dental arches and proper bilateral molar relationship. A functional Class III was ruled out through mandibular manipulation. The treatment plan included preventive measures, prophylaxis, sealants, selective extractions, and the use of modified removable Hawley appliances with expansion screw and bite planes. After six months of treatment and periodic activations, successful correction of the anterior crossbite was achieved. This case highlights the importance of early interceptive orthodontics in preventing more severe skeletal discrepancies and promoting proper functional and esthetic development of the stomatognathic system.
Keyword: Malocclusion, Anterior Cross Bite, Orthodontic Interceptive, Mixed dentition
Introducción
El presente caso clínico describe la evaluación y manejo de una paciente femenina de 8 años y 10 meses que acudió a la Facultad de Odontología de la Universidad de Panamá, debido a que su madre observó una alteración en la mordida. Durante la valoración clínica y radiográfica se realizó un análisis facial, intraoral y cefalométrico con el objetivo de determinar el diagnóstico preciso y establecer un plan de tratamiento adecuado.

Figura 1. Vista frontal con sonrisa de la paciente

Figura 2. Línea media dental y proporción labial

Figura 3. Perfil facial lateral.
Análisis facial: La forma de la cara es mesofacial, mostrando simetría de los tercios faciales desde la vista frontal. El labio superior es delgado pero funcional, y el cierre labial es normal. Durante la sonrisa se evidencia una mordida cruzada anterior. La línea media superior e inferior dental coinciden con la línea media facial, indicando buena alineación dental. El perfil lateral se clasifica como convexo, compatible con la armonía facial general.
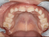
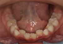
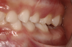
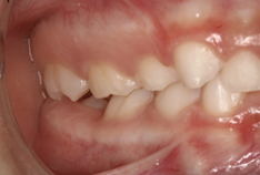
En el examen intraoral se observa mordida cruzada anterior. Las líneas medias dentales coinciden. Esto indica correcta alineación central. Tanto el arco superior como el inferior presentan forma en U, lo que sugiere un buen espacio para la dentición y una correcta disposición de los dientes en ambos arcos.

Figura 4. Mordida cruzada anterior Figura 5. Arco superior en forma de U

Figura 6. Arco interior en forma de U
La relación molar tanto del lado derecho como del izquierdo se clasifica como Clase I, indicando una correcta intercuspidación molar y oclusión funcional bilateral. Esto sugiere un buen equilibrio dentoalveolar y favorece la estabilidad oclusal general.

Figura 7. Relación molar derecha Figura 8. Relación molar izquierda

Figura 9. Análisis radiográfico
Al examen radiográfico se observa una dentición mixta.

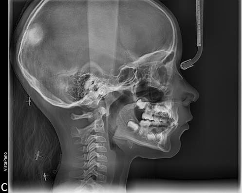
Figura 10. Telerradiografía lateral
La telerradiografía lateral de cráneo muestra una relación esqueletal de Clase I. Los incisivos superiores permanentes ocluyen por lingual de los incisivos inferiores permanentes.
Diagnóstico
Clase I esqueletal con clase I de mal oclusión con mordida cruzada anterior. Gingivitis inducida por placa. Surcos profundos. Alto riesgo cariogénico.
Plan de Tratamiento
1. Presentación del caso a los padres
2. Aspectos Preventivos
3. Protocolo de actualización en el niño de alto riesgo.
4. Profilaxis y aplicación de flúor.
5. Sellantes de fosas y fisuras.
6. Interfase.
7. Extracciones de incisivos laterales superiores y caninos inferiores bilaterales.
7. Colocación de aparatología.
8. Controles.
Diagnóstico Diferencial
En las citas antes de colocar la aparatología, a la paciente se le manipuló la mandíbula hacia atrás para verificar si estábamos frente a una clase III funcional, en la cual el paciente adelanta su mandíbula al cerrar para evitar un contacto prematuro (por ejemplo, si hay un diente que hace contacto antes que los demás).
Durante la anamnesis no se identificaron antecedentes hereditarios asociados a clase III. Sin embargo, es importante considerar que esta maloclusión también puede estar relacionada con un crecimiento mandibular excesivo o un desarrollo insuficiente del maxilar.
Selección de los aparatos
Los aparatos debían tener las siguientes características:
1. Capacidad de vestibularizar los incisivos laterales inferiores permanentes.
2. Evitar la protusión de los incisivos superiores e inferiores permanentes.
3. Planos de altura para levantar la mordida y que se pueda saltar la mordida cruzada.
4. Algún tipo de retenedores para evitar que el aparato se desaloje.
5. Tornillo de expansión para expandir el maxilar. (2)
Se tuvo una conversación sobre el comportamiento de la paciente con su acudiente en caso de que se tuviera que colocar aparatología ortodóntica removible. Se llega a la conclusión de colocar dos aparatos: Hawley superior modificado con tornillo de expansión, planos de altura y flechas y Hawley inferior modificado con flechas y helicoides. (2,3)

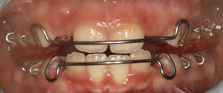
Figura 11. Vista de Hawley frontal
Figura 12. Hawley inferior modificado con flechas y helicoides.

Figura 13. Hawley superior modificado con tornillo de expansión
Indicaciones del uso del aparato
Se les explicó a los acudientes que le colocaran el aparato a la paciente cuando llegaba de la escuela y para dormir. El mismo se activó 0.25 cada dos semanas hasta que se lograra descruzar la mordida.
Resultados
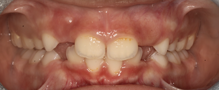
Después de 6 meses de tratamiento y activaciones de los aparatos, se consiguió corregir la mordida cruzada anterior.

Figura 14. Corrección de mordida cruzada anterior

Figura 15. Radiografía panorámica
Se observa que los incisivos laterales superiores permanentes no tienen espacio para erupcionar, por lo cual se recomienda la extracción de los caninos superiores deciduos.
Conclusiones
La ortodoncia interceptiva es clave en el tratamiento temprano de las mordidas cruzadas anteriores, ya que permite corregir alteraciones funcionales y prevenir discrepancias esqueletales mayores. Su aplicación oportuna durante la dentición mixta favorece un desarrollo adecuado de los maxilares y mejora la oclusión, función y estética del paciente.
Referencias bibliográficas
1. Proffit, W. Fields, H. Larson, B. Sarver, D.: Contemporary Orthodontics. Sixth edition. 2019. Elsevier.
2. Graber, L. Vanarsdall,R Vig,K Huang, G.: Orthodontic current principles and techniques. Sixth edition. 2017. Elsevier.
3. Zachrisson, B. U. Esthetics and Biomechanics in Orthodontics. 2nd ed. Mosby; 2015.