Manejo ortodóncico interceptivo en un caso de Amelogénesis imperfecta análisis del movimiento menor
El presente estudio describe el manejo ortodóncico interceptivo en una paciente pediátrica con amelogénesis imperfecta (AI), maloclusión y hábito de deglución atípica. La paciente presentó dientes de aspecto translúcido, mordida borde a borde de los incisivos antagonistas, desviación de la línea media inferior y arcos dentales con formas alteradas. El diagnóstico incluyó clase I esqueletal, clase III subdivisión con mordida abierta anterior, gingivitis inducida por biopelícula y alto riesgo cariogénico. Se implementó un plan de tratamiento integral que incluyó higiene oral, profilaxis, flúor, sellantes, exodoncias, remineralización y aparatología ortodóncica interceptiva, específicamente un Quad-Helix con espolones, con el objetivo de corregir la expansión dentoalveolar y el hábito lingual. Tras 7 meses de seguimiento, se lograron movimientos dentales menores significativos, mejorando la dimensión vertical, la alineación de los arcos y la función masticatoria, demostrando la importancia de la detección temprana y del abordaje interdisciplinario en pacientes con AI.
Descargas
Caso Clínico
Manejo ortodóncico interceptivo en un caso de Amelogénesis imperfecta: análisis del movimiento menor
Interceptive orthodontic treatment in a case of Amelogenesis imperfecta: analysis of minor movement
Meliza Trejos
Universidad de Panamá, Facultad de Odontología, Panamá
https://orcid.org/0009-0005-4159-7637 meliza.trejos@up.ac.pa
Recepción: 26
julio de 2025
Aceptación: 15 de noviembre de 2025
DOI: https://doi.org/10.48204/2710-7825.9488
Resumen
El presente estudio describe el manejo ortodóncico interceptivo en una paciente pediátrica con amelogénesis imperfecta (AI), maloclusión y hábito de deglución atípica. La paciente presentó dientes de aspecto translúcido, mordida borde a borde de los incisivos antagonistas, desviación de la línea media inferior y arcos dentales con formas alteradas. El diagnóstico incluyó clase I esqueletal, clase III subdivisión con mordida abierta anterior, gingivitis inducida por biopelícula y alto riesgo cariogénico. Se implementó un plan de tratamiento integral que incluyó higiene oral, profilaxis, flúor, sellantes, exodoncias, remineralización y aparatología ortodóncica interceptiva, específicamente un Quad-Helix con espolones, con el objetivo de corregir la expansión dentoalveolar y el hábito lingual. Tras 7 meses de seguimiento, se lograron movimientos dentales menores significativos, mejorando la dimensión vertical, la alineación de los arcos y la función masticatoria, demostrando la importancia de la detección temprana y del abordaje interdisciplinario en pacientes con AI.
Palabras clave: Movimiento menor, ortodoncia interceptiva, amelogénesis imperfecta, maloclusión, dentición mixta.
Abstract
This study reports the interceptive orthodontic management in a pediatric patient with amelogenesis imperfecta, malocclusion, and atypical swallowing habit. The patient presented with translucent teeth, edge-to-edge anterior bite, deviation of the lower dental midline, and altered dental arch shapes. Diagnosis included skeletal class I, class III subdivision with anterior open bite, plaque-induced gingivitis, and high caries risk. An interdisciplinary treatment plan was implemented, including oral hygiene instruction, prophylaxis, fluoride application, sealants, extractions, remineralization, and interceptive orthodontic appliance, specifically a Quad-Helix with spurs, aimed at correcting dentoalveolar expansion and tongue posture. After 7 months of follow-up, significant minor tooth movements were achieved, improving vertical dimension, arch alignment, and masticatory function, highlighting the importance of early detection and interdisciplinary care in AI patients.
Keyword: Minor tooth movement, interceptive orthodontics, amelogenesis imperfecta, malocclusion, mixed dentition.
Introducción
La salud bucal infantil constituye un componente esencial del desarrollo integral del niño, y su adecuada atención es fundamental para prevenir alteraciones funcionales y estéticas que puedan afectar la calidad de vida. Entre las condiciones que afectan la estructura dental se encuentra la amelogénesis imperfecta (AI), un trastorno hereditario que altera la formación del esmalte y se manifiesta clínicamente con dientes de apariencia frágil, opaca o translúcida, popularmente descritos como “dientes de cristal” (1). El manejo de la AI resulta aún más complejo cuando coexisten otras alteraciones, como maloclusiones dentales o hábitos orales atípicos, por ejemplo, la deglución atípica, que pueden influir en el desarrollo de los maxilares y la correcta alineación dentaria. La literatura evidencia que la detección temprana y el abordaje interdisciplinario permiten mejorar los resultados clínicos, funcionales y estéticos en pacientes pediátricos con defectos de esmalte (2).
En este contexto, se presenta el caso de una paciente femenina de 8 años y 7 meses de edad, que acude a la Clínica Integral de la Facultad de Odontología de la Universidad de Panamá, acompañada de su madre, quien refiere como motivo de consulta la presencia de “dientes de cristal” y expresa su deseo de corregir esta condición. La paciente presenta antecedente de dermatitis atópica, actualmente controlada. La evaluación clínica revela signos compatibles con amelogénesis imperfecta, así como la presencia de maloclusión y hábito de deglución atípica.
![]()

Figura 1. Evaluación de la forma mesofacial
![]()

Figura 2. Vista de la sonrisa, funcional y proporcional
![]()

Figura 3. Perfil convexo de la paciente
Análisis facial: Paciente presenta una forma de la cara meso facial. Existe simetría tanto del lado izquierdo como del lado derecho. Asimismo, la simetría de los tercios y quintos faciales.

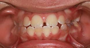
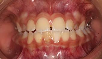
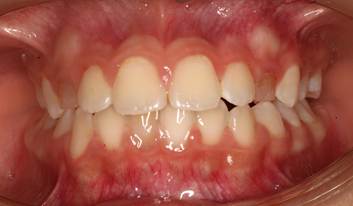
Figura 4. Análisis intraoral
Al examen intraoral se observa una mordida borde a borde de los incisivos antagonistas. La línea media dental inferior está desviada 1mm hacia la derecha. Piezas deciduas con signos clínicos de amelogénesis imperfecta.


Figura 5. Arco superior en forma ovalada Figura
6. El arco inferior cuadrado


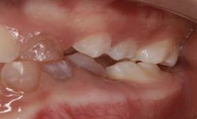
Figura 7. Relación molar derecha clase Figura
8. Relación molar izquierda clase III

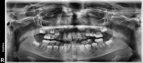
Figura 9. Análisis radiográfico
Al análisis radiográfico observamos un paciente en dentición mixta. Las piezas deciduas en su proceso fisiológico normal de reabsorción radicular.

Figura 10. Radiografías periapicales
Se observa a mayor detalle la obliteración de los conductos radiculares en las piezas permanentes, hallazgo radiográfico común en pacientes con amelogénesis imperfecta.

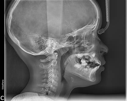
Figura 11. En la telerradiografía lateral de cráneo muestra una clase I esqueletal.

Figura 12. Figura 13.
Figura 12. Análisis de los modelos de estudio.
Se puede determinar un arco inferior en forma cuadrada
Figura 13. Análisis de los modelos de estudio.
Un arco superior ligeramente en forma de V.
Diagnóstico
Clase I esqueletal, clase III subdivisión con mordida abierta anterior, amelogénesis imperfecta, caries dental, surcos profundos, gingivitis inducida por biopelícula, hábito de deglución atípica, alto riesgo cariogénico.
Plan de tratamiento
● Enseñanza de la técnica de higiene oral y modificación de la dieta.
● Profilaxis dental y aplicación tópica de flúor.
● Protocolo de actuación en el niño de alto riesgo cariogénico.
● Exodoncias, sellantes y remineralización.
● Interfase
● Colocación de aparatología ortodóncica.
Diagnóstico diferencial
Poulsen et al mencionan que en pacientes pediátricos con AI, no solo se observa la alteración estructural del esmalte, sino también una mayor tendencia a desarrollar maloclusiones, particularmente mordida abierta anterior, sobremordidas aumentadas, y relaciones esqueléticas anómalas. (3) Estos desajustes pueden estar asociados a la pérdida de dimensión vertical, erupciones atípicas y desgaste precoz de los dientes, lo que modifica el patrón de crecimiento orofacial. Además, las dificultades funcionales que genera esta anomalía, como la masticación dolorosa o ineficiente, pueden contribuir indirectamente a desequilibrios en la dinámica mandibular. (4) En este caso, la paciente presentaba molares deciduos con fractura coronal, junto con el hábito de deglución atípica, razón por la cual la mordida se ha ido abriendo a lo largo del tiempo generando una maloclusión. Por otro lado, con el análisis de los modelos pudimos determinar que el arco superior presentaba ligeramente forma de V debido a la posición dental, por lo tanto, se indica la necesidad de provocar una expansión dentoalveolar. Por esta razón, comprender la relación entre la amelogénesis imperfecta y las maloclusiones durante la dentición mixta resulta fundamental para planificar intervenciones tempranas.
Selección del aparato
Se toma la decisión de utilizar un Quad-hélix con espolones. El mismo tiene la función de producir movilización dental en sentido lateral, y los espolones nos ayudan a corregir el hábito de la lengua.
Avance del tratamiento
Tomando en cuenta que el aparato se cementó culminando el semestre, se volvió a citar al paciente pasado dos meses cuando se reanudaron las sesiones clínicas.

Figura 14. Avance clínico observado en la cita de
control
Se pudo observar un cambio bastante notorio donde podemos apreciar como los incisivos superiores han descendido un poco para mejorar el overbite. Por otro lado, en esta misma cita de control se tomó la decisión de retirar el aparato, activarlo y modificarlo.
Durante los siguientes 5 meses la paciente asistió mensualmente a su cita de control, donde se mantuvo en observación los movimientos dentales hasta cumplir con el objetivo.

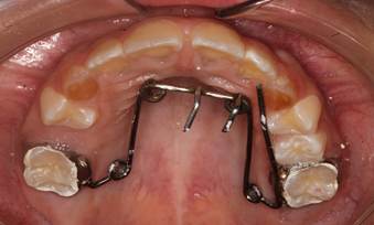
Figura 15. Aparato Quad-Helix
Con ayuda del laboratorio se recortó el brazo derecho para evitar la vestibularización de la pieza #14 y así apoyarnos ligeramente con la rotación de la pieza #16.

Figura 16. Erupción adecuada de la pieza #15.
Podemos observar como el arco superior empieza a tomar forma de U.
Resultados
El presente análisis se centra en el manejo ortodóncico interceptivo aplicado a una paciente con amelogénesis imperfecta, evaluando principalmente los movimientos dentales menores logrados durante el tratamiento. Pasados 7 meses de tratamiento, se realizan las evaluaciones clínicas finales y se toma la decisión de retirar el aparato.
![]() |
Figura 17. Mejora de la dimensión vertical dental.
Logramos determinar cómo el uso de los espolones logró corregir el hábito de la deglución atípica para así mejorar la dimensión vertical dental.

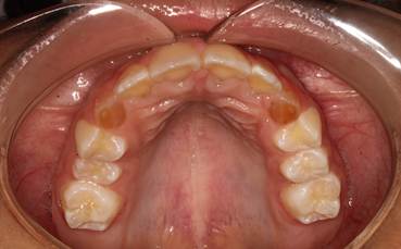
Figura 18. Vista del arco superior.
Podemos apreciar un arco superior en forma de U, paladar profundo, con una alineación dental adecuada. Piezas #53 y 63 con hallazgos clínicos de amelogénesis imperfecta.

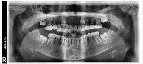
Figura 19. Radiografía Panorámica
En la radiografía panorámica final se observa la evaluación normal de todos los dientes permanentes.
Referencias Bibliográficas
1. Wright JT, Torrealba D, Pahkala R. Amelogenesis imperfecta: Clinical presentation, diagnosis, and treatment. Oral Dis. 2015;21(1):28–37.
2. Coffield KD, Phillips C, Brady M, Roberts MW, Strauss RP, Wright JT. The psychosocial impact of developmental dental defects in children. Pediatric Dent. 2005;27(3):201–207.
3. Poulsen S, Gjørup H, Haubek D, Haukali G, Hintze H, Løvschall H, Errboe M. Amelogenesis imperfecta—a systematic literature review of associated dental and oro-facial abnormalities and their impact on patients. Acta Odontol Scand. 2008;66(4):193–199. doi: 10.1080/00016350802192071
4. Proffit WR, Fields HW Jr, Larson B, Sarver DM. Contemporary Orthodontics. 6th ed. Elsevier Health Sciences; 2018. 744 p.
