Análisis imagenológico de lesiones periapicales en pacientes de la Facultad de Odontología Universidad de Panamá
Las lesiones periapicales constituyen una de las alteraciones más frecuentes en el área odontológica, ya que están asociadas principalmente a procesos infecciosos de origen endodóntico que afectan los tejidos perirradiculares y el hueso alveolar. Estas lesiones pueden presentarse como abscesos apicales, granulomas o quistes radiculares, y en muchos casos su diagnóstico inicial se realiza mediante estudios radiográficos. El análisis imagenológico permite identificar cambios en la estructura ósea y orientar al profesional hacia un diagnóstico diferencial adecuado; sin embargo, la confirmación definitiva de algunas patologías requiere estudios histopatológicos. Debido a su relevancia clínica, el estudio de estas lesiones resulta fundamental para comprender su prevalencia, características y comportamiento en la población atendida en clínicas odontológicas. En este contexto, el presente estudio tuvo como objetivo analizar radiografías panorámicas provenientes de la base de datos de la Facultad de Odontología de la Universidad de Panamá, con el fin de identificar la presencia de lesiones periapicales y establecer su frecuencia dentro de la muestra evaluada.
Descargas
Investigación
Análisis imagenológico de lesiones periapicales en pacientes de la Facultad de Odontología Universidad de Panamá
Imaging analysis of periapical lesions in patients at the University of Panama School of Dentistry
Monique Howard
Universidad de Panamá,
Facultad de Odontología, Panamá
https://orcid.org/0009-0003-3250-684X monique.howard@up.ac.pa
Isabel Pineda
Universidad de Panamá, Facultad de Odontología, Panamá
https://orcid.org/0009-0006-5837-008 isabel.pineda01@up.ac.pa
Jaylene Moreno
Universidad de Panamá,
Facultad de Odontología, Panamá
https://orcid.org/0009-0007-3393-1556 jaylene.moreno-g@up.ac.pa
Aurelio Escobar
Universidad de Panamá, Facultad de Odontología, Panamá
https://orcid.org/0009-0004-6495-3406 aurelio.escobar@up.ac.pa
Alejandra Barría
Universidad de Panamá
Facultad de Odontología, Panamá
http://orcid.org/0001-5784-8465 alejandra.barria@up.ac.pa
Recepción: 1 de julio 2025
Aceptación: 1 de octubre de 2025
DOI: https://doi.org/10.48204/2710-7825.9492
Resumen
Las lesiones periapicales constituyen una de las alteraciones más frecuentes en el área odontológica, ya que están asociadas principalmente a procesos infecciosos de origen endodóntico que afectan los tejidos perirradiculares y el hueso alveolar. Estas lesiones pueden presentarse como abscesos apicales, granulomas o quistes radiculares, y en muchos casos su diagnóstico inicial se realiza mediante estudios radiográficos. El análisis imagenológico permite identificar cambios en la estructura ósea y orientar al profesional hacia un diagnóstico diferencial adecuado; sin embargo, la confirmación definitiva de algunas patologías requiere estudios histopatológicos. Debido a su relevancia clínica, el estudio de estas lesiones resulta fundamental para comprender su prevalencia, características y comportamiento en la población atendida en clínicas odontológicas. En este contexto, el presente estudio tuvo como objetivo analizar radiografías panorámicas provenientes de la base de datos de la Facultad de Odontología de la Universidad de Panamá, con el fin de identificar la presencia de lesiones periapicales y establecer su frecuencia dentro de la muestra evaluada.
Palabras clave: Lesiones periapicales, quiste radicular, análisis imagenológico, diagnóstico diferencial, radiografía panorámica.
Abstract
Periapical lesions are one of the most common disorders in dentistry, as they are mainly associated with infectious processes of endodontic origin that affect the periradicular tissues and alveolar bone. These lesions can be presented as apical abscesses, granulomas, or radicular cysts, and in many cases, their initial diagnosis is made through radiographic studies. Imaging analysis allows changes in bone structure to be identified and guides the professional towards an appropriate differential diagnosis; however, definitive confirmation of some pathologies requires histopathological studies. Due to their clinical relevance, the study of these lesions is essential for understanding their prevalence, characteristics, and behavior in the population treated in dental clinics. In this context, the objective of this study was to analyze panoramic radiographs from the database of the Faculty of Dentistry of the University of Panama to identify the presence of periapical lesions and establish their frequency within the sample evaluated.
Keyword: Periapical lesions, radicular cyst, imaging analysis, differential diagnosis, panoramic radiography.
Introducción
El maxilar superior y la mandíbula constituyen los huesos principales de la cavidad oral y tienen importantes funciones estructurales, protectoras, masticatorias y estéticas. Estos huesos pueden verse afectados por un grupo diverso de lesiones que van desde lesiones quísticas, reactivas/inflamatorias y de desarrollo hasta tumores y lesiones similares a tumores. 1
Las lesiones óseas de los maxilares son alteraciones patológicas benignas o malignas y pueden ubicarse alrededor de la raíz del diente, alrededor de la corona del diente en erupción y en el área interradicular o pueden no tener relación con los dientes.2 Las lesiones periapicales, resultado de la necrosis de la pulpa dental, son las patologías que frecuentemente son encontradas en el hueso alveolar.3 Estas lesiones son típicamente asintomáticas y a menudo se descubren de manera incidental durante investigaciones radiológicas. Sus características radiológicas son inespecíficas, lo que requiere una correlación clínica, radiológica y patológica integral para un diagnóstico preciso. 4
Este estudio tiene como objetivo analizar y diferenciar las características imagenológicas de las lesiones periapicales y anomalías que padecen los pacientes de la Facultad de Odontología- Universidad de Panamá para calcular el índice de incidencias, proporcionando parámetros clave.
Material y Métodos
Se seleccionaron 50 radiografías panorámicas de pacientes de ambos sexos con edades entre los 18 y 50 años con posibles lesiones periapicales de la Facultad de Odontología de la Universidad de Panamá.
Criterios de Inclusión
· Imágenes radiográficas panorámicas realizadas en la Facultad de Odontología de la Universidad de Panamá.
· Pacientes con lesiones periapicales
Métodos Imagenológicos
Se analizaron las imágenes radiografías panorámicas para evaluar localización general y morfología de la lesión para dar un diagnóstico diferencial.
Resultados
De las 50 radiografías analizadas, 20 pacientes presentaron algún tipo de lesiones periapicales (tabla 1) dentro de los cuales se obtuvieron diagnósticos diferenciales de 3 osteítis condensante, 3 hipercementosis, 3 osteoesclerosis, 4 quiste radicular, 2 quiste dentígero, 1 odontoma, 1 folículo dentario, 2 displasia, 2 granuloma, 1 queratoquiste odontogénico
Tabla 1
Lesiones periapicales en pacientes de la facultad de odontología de la Universidad de Panamá
|
Lesión por paciente |
Genero |
Edad |
|
Osteítis |
F |
47 |
|
Osteítis e hipercementosis |
M |
44 |
|
Osteítis condensante |
F |
48 |
|
Hipercementosis |
F |
32 |
|
Hipercementosis |
F |
25 |
|
Osteoesclerosis |
F |
37 |
|
Osteoesclerosis |
M |
20 |
|
Osteoesclerosis |
F |
27 |
|
Quiste radicular |
M |
25 |
|
Quiste radicular y quiste dentígero |
M |
41 |
|
Queratoquiste odontogénico |
M |
22 |
|
Quiste radicular |
M |
28 |
|
Quiste radicular |
F |
40 |
|
Quiste dentígero |
M |
26 |
|
Odontoma |
F |
23 |
|
Folículo dentario |
F |
25 |
|
Displasia |
F |
34 |
|
Granuloma |
M |
48 |
|
Granuloma |
M |
30 |
|
Displasia |
F |
31 |
*Nota: Datos obtenidos del banco de pacientes de la Facultad de Odontología de la Universidad de Panamá
Se obtuvieron mayores porcentajes en los quistes radiculares (22%), seguidos por un 13% en osteítis, osteoesclerosis, hipercementosis, un 9% en granuloma, displasia y dentígero y en un menor porcentaje con un 4% en queratoquistes, folículo dentario y odontoma. (Gráfica 1)
Figura 1
Lesiones periapicales en pacientes de la universidad de Panamá por porcentaje

*Nota: Datos obtenidos de la tabla 1 Lesiones periapicales en pacientes de la facultad de odontología de la Universidad de Panamá
De los 50 pacientes estudiados, 22 fueron femeninas, 18 masculinos, de las cuales 11 femeninas presentaron lesiones en un intervalo de 22 a 48 años, y 9 masculinos presentaron lesiones en un intervalo de 20 a 48 años. (Gráfica 2)

*Nota: Datos obtenidos de la tabla 1 Lesiones periapicales en pacientes de la facultad de odontología de la Universidad de Panamá
Discusión:
De acuerdo con los resultados obtenidos las lesiones encontradas fueron 10 a las cuales le dimos un diagnóstico diferencial.
Tabla 2
Lesiones encontradas
|
|
Lesión |
Características clínicas-radiográficas |
Imagen de la lesión |
|||
|
1 |
Osteítis condensante |
Asintomático lesión radiopaco-difusa con masa más o menos definido asociado al ápice del diente afectado se ve esclerótica no expandible.5 |
|
|||
|
2 |
Osteoesclerosis idiopática |
Lesión radiopaca localizada asintomática no expansiva masa irregular redonda o elíptica o sea bien definida.6 |
|
|||
|
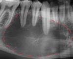
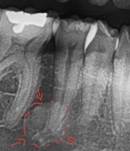
3 |
Quiste radicular |
Imagen radiolúcida, redonda u ovalada y unilocular, que se presenta en la región periapical y puede estar rodeada por hueso cortical delimitada por una línea radiopaca continua lo cual indica la existencia de hueso esclerótico.3,7 |
|
|||
|
4 |
Quiste dentígero |
Lesión
unilocular, asintomática, radiolúcida, caracterizada por márgenes
escleróticos bien definidos y asociada con la corona de un diente sin
erupción.8 |
|
|||
|
5 |
Quiste odontogénico |
Lesión
asintomática, de larga evolución, crecimiento lento y expansivo. Imagen
radiolúcida con bordes bien definidos y delgados.9 |
|
|||
|
6 |
Displasia cemento ósea periapical |
Lesión que presenta diferentes etapas dependiendo de su desarrollo. En su etapa inicial se observa como un área radiolúcida uní o multilocular bien delimitada. En etapas avanzadas se observa circunscrita con distintos grados de radiopacidad en su interior10 |
|
|||
|
7 |
Granuloma |
Lesión periapical pequeña menor de 5mmm aproximadamente de forma redonda. Se observa una imagen radio lúcida de menor densidad que el quiste periapical.11 |
|
|||
|
8 |
Hipercementosis |
Asintomático.
Se ve una cantidad excesiva de cemento a la largo de toda o par de la
superficie radicular. 11 |
|
|||
|
9 |
Odontoma |
Lesión
unilocular radiopaca, asintomática, con bordes definidos no corticalizados |
|
|||
|
10 |
Folículo dentario hiperplásico |
Se observa un espacio radiolúcido homogéneo, alrededor de la corona de un diente en desarrollo y en dientes impactados se presenta como un ligera raciolucidez semicircular alrededor de los dientes no erupcionados.12 |
|
En este estudio, 4 de cada 10 pacientes evaluados presentaron lesiones periapicales confirmadas. 6 de cada 10 pacientes no presentaron lesiones confirmadas, lo que sugiere que, aunque el grupo evaluado tenía indicios clínicos o radiológicos de lesión, no todos los casos sospechosos resultaron ser positivos.
1. Porcentaje de casos confirmados: = (50/20) × 100 = 40%
2. Porcentaje de casos no confirmados: = (50/30) × 100 = 60%
3. Prevalencia de lesiones periapicales: = (50/20) = 0.4 o 40%
Revisión de la literatura
La lesión periapical de origen endodóntico es una de las patologías más frecuentes que se encuentran a nivel del hueso alveolar, y representa una respuesta inflamatoria por infección bacteriana de los conductos radiculares. Estas lesiones se desarrollan por la inflamación del ligamento periodontal en una variedad de condiciones patológicas como: el absceso apical, granuloma periapical y quiste radicular ocasionado por trauma o enfermedad pulpar. La única manera de diferenciar estas patologías es mediante un examen histopatológico para determinar su condición real. 13
Además de los posibles signos y síntomas asociados con las lesiones periapicales, hay cambios en la mineralización y la estructura del hueso periradicular que da como resultados la reabsorción ósea. Esta afección puede ser detectada mediante varias técnicas radiográficas, en nuestro caso las radiografías panorámicas adquiridas de la base de datos de nuestra facultad (Facultad de Odontología- Universidad de Panamá).
De las 40 radiografías analizadas, 20 pacientes presentaron lesiones periapicales (tabla 1), se obtuvieron diagnósticos diferenciales de 3 osteítis condensante, 3 hipercementosis, 3 osteoesclerosis, 4 quiste radicular, 2 quiste dentígero, 1 odontoma, 1 folículo dentario, 2 displasia, 2 granuloma, 1 queratoquiste odontogénico. De acuerdo con estos resultados de las radiografías panorámicas examinadas, se pudo encontrar tumores odontogénicos benignos, quistes odontogénicos y alteraciones óseas.
Los tumores odontogénicos son neoplasias que se desarrollan exclusivamente en mandíbula o el maxilar, originadas por proliferación del tejido epitelial mesenquimal. Representan 5 % 8 % de los tumores de cavidad oral. La gran mayoría son benignos y sólo 5 % presentan características malignas.14 El tumor odontogénico más común es el odontoma, que está formado por tejido dental que crece alrededor de un diente en la mandíbula. Los odontomas a menudo no presentan síntomas, pero pueden interferir con el desarrollo o la erupción dentaria.15 Dentro de los pacientes seleccionados se pudo encontrar la displasia y el odontoma, siendo este el más habitual, esto nos confirma que es uno de los tumores odontogénicos más comunes, ya que dentro de nuestra pequeña muestra se pudo encontrar 1 resultado de este.
Cuando aparece en la boca una cavidad que se encuentra llena por líquido, células, aire, o una combinación de todas ellas cubierta por un exterior escamoso estratificado, nos encontramos ante un caso de quiste odontogénicos que puede acabar con el hueso del maxilar o provocar el movimiento de los dientes. 16
Los quistes odontogénicos no presentan síntomas previos y pueden descubrirse a través de imágenes radiolúcidas en exámenes radiológicos de prevención o rutina. En la mayoría de los casos, este tipo de lesión crece lentamente, pudiendo llegar a perforar las corticales óseas y produciendo crepitación al palpar la zona. Podemos diferenciar dos grupos generales de quistes odontogénicos: Los quistes de desarrollo que proliferan de restos epiteliales por estímulos que se desconocen y los quistes inflamatorios que surgen en el epitelio bajo estímulos inflamatorios. 16
Dentro de nuestra muestra se obtuvieron quistes radiculares, quistes dentígeros y queratoquiste odontogénico. Según estudios el quiste dentígero y radicular son los más frecuentes en las poblaciones, comparando este dato con nuestro resultado, se puede decir que se encuentra dentro del rango, basándonos en la muestra de nuestro estudio. Por otro lado, las alteraciones óseas de los huesos maxilares (inferior y superior) pueden producirse a cualquier edad. En algunos casos se trata de malformaciones congénitas, es decir, ya están presentes en el momento del nacimiento. En otros se producen durante el desarrollo del niño y los más surgen en la edad adulta de diferentes formas: quistes, traumatismos, problemas metabólicos, tumores, etc. 17 En nuestros resultados encontramos 3 tipos de alteraciones óseas, la osteítis condensante, la osteoesclerosis y la hipercementosis.
Conclusiones
El análisis imagenológico de las 40 radiografías periapicales reveló que el 50% de los pacientes presentaron algún tipo de lesión periapical. Las patologías más prevalentes fueron el quiste radicular (22%) y las alteraciones óseas como la osteítis condensante, la hipercementosis y la osteoesclerosis, con un (13%) cada una. Otras lesiones detectadas incluyeron patologías menos frecuentes como el odontoma y el queratoquiste.
Según la literatura y la comparación del análisis referente a nuestra muestra de estudio podemos decir que la Facultad de odontología-Universidad de Panamá maneja pacientes con una predominación de lesiones periapicales de tipo “quistes odontogénicos” (7 casos, siendo un 35%) como lo son el quiste radicular, dentígero y queratoquiste odontogénico. Por otro lado, también se encuentra una mayor prevalencia en alteraciones óseas (9 casos, siendo un 45%), tales como la osteítis condensante, osteoesclerosis y la hipercementosis. Cabe destacar que este tipo de lesiones pueden ser encontradas en todo tipo de pacientes, independientemente, de su edad, género o raza.
Estos hallazgos subrayan la importancia de realizar un diagnóstico imagenológico detallado para la detección precoz y el tratamiento oportuno de las diferentes patologías periapicales, algunas de las cuales pueden tener implicaciones clínicas serias si no son tratadas adecuadamente. Los resultados también destacan la diversidad de lesiones que pueden manifestarse en la zona periapical, lo que refuerza la necesidad de un enfoque integral en la formación y práctica de los futuros odontólogos, especialmente en el manejo de las lesiones radiográficas complejas.
Agradecimientos
Primeramente, le damos las gracias a Dios, a la Dra. Alejandra Barria por guiarnos y corregirnos en la elaboración de este trabajo, al Dr. Andrés Alvarado por orientarnos en el análisis de las lesiones, y al Dpto. De Radiología por brindarnos las radiografías panorámicas necesarias para nuestra investigación.
Referencias bibliográficas
1.Kittipong Dhanuthai, Kulisra Chiramanaphan, Varatchaya Tevavichulada, Supatcha Tangwongwarachai, Soranun Chantarangsu. Intraosseous jaw lesions: A 25-year experience. Journal of Oral and Maxillofacial Pathology [Internet]. 2022 Jan 1 [cited 2024 Oct4];26(4):595–5. Available from: https://www.ncbi.nlm.nih.gov/pmc/articles/PMC10112091/#sec1-1title
2. Boza Oreamuno DDS, MSc YV, López Soto DDS, MSc A. Clinical and Histopathological Concordance of oral Bone Lesions. Retrospective Study. Odovtos - International Journal of Dental Sciences. 2019 Oct 29;307–17.
3. García-Rubio A, Bujaldón-Daza AL, Rodríguez-Archilla A. Lesiones periapicales: diagnóstico y tratamiento. Avances en Odontoestomatología [Internet].2015;31(1):31–42. Available from: https://scielo.isciii.es/scielo.php?script=sci_arttext&pid=S021312852015000100005#:~:text=La%20periodontitis%20periapical%20es%20la
4. Svyat Strokov, Cardot-Leccia N, Hélène Raybaud, Latrèche S, Guillou E, Nouha Khenissa, et al. Cysts of the jaws and how to make their diagnoses under a microscope: a need for a better communication between clinicians and pathologists. Journal of Oral Medicine and Oral Surgery [Internet]. 2024 Jan 1 [cited 2024 Oct 4];30(1):8–8. Available from: https://www.jomos.org/articles/mbcb/full_html/2024/01/mbcb240013/mbcb240013.ht ml
5.Osteítis condensante [internet]. Www.iztacala.unam.mx. Available from: https://www.iztacala.unam.mx/rrivas/notas/notas8patperiapical/3.4osteitis.html
6. Carlos Andrés Espinoza. Osteoesclerosis idiopática – dento metric | radiología dental, oral y maxilofacial [internet]. Available from: https://dentometric.com/osteoesclerosisidiopatica/
7. Posada Álvarez jd. Quiste radicular de origen odontogénico. Reporte de caso. Revista nacional de odontología. 2014 dec 30;10(19):91–100.
8. Características radiológicas del quiste dentígero - idm [internet]. Idm. 2021 [cited 2024 oct 9]. Available from: https://idmperu.com/240-caracteristicas-radiologicas-delquiste-dentigero/
9. Diagnóstico y tratamiento conservador del queratoquiste odontogénico. Odontoestomatología. 2022 apr 1;24.
10. Kuder l, Márquez v, Carlos j. Displasia cementaria periapical. Reporte de caso periapical cemental dysplasia. Case report. 2018;19(60):1603–8. Available from: https://www.medigraphic.com/pdfs/oral/ora-2018/ora1860e.pdf
11.Lesiones periapicales.pptx [internet]. Slideshare. Slideshare; 2022 [cited 2024 oct 10]. Available from: https://es.slideshare.net/slideshow/lesionesperiapicalespptx/251401301
12. ¿Folículo dentario hiperplásico o lesión odontogénica? [internet]. Svrid.org.ve. 2021 [cited 2024 oct 10]. Available from: https://www.svrid.org.ve/reporteimagenologico/17-oliveira/
13. Castelucci, A. Lesión periapical de origen endodóntico: diagnóstico y tratamiento. Revista de la Facultad de Odontología, Universidad de Costa Rica. 2020;25(1):1-10 Disponible en:https://www.scielo.sa.cr/scielo.php?script=sci_arttext&pid=S165907752020000100029.
14. González, A., & López, J. Tumores odontogénicos: características y clasificación. Revista Venezolana de Oncología. 2009;11(3):1-8. Disponible en: https://ve.scielo.org/scielo.php?script=sci_arttext&pid=S079805822009000300006.
15. Mayo Clinic Staff. Jaw tumors and cysts: symptoms and causes. Mayo Clinic. 2024. Disponible en: https://www.mayoclinic.org/diseases-conditions/jawtumo-rscysts/symptoms-causes/syc-20350973.
16. Morales, I. Quistes odontogénicos: tipos y características. Clínica Dental Irene Morales. 2024. Disponible en: https://www.clinicadentalirenemorales.com/quistesodontogenicos-tipos-y-caracteristicas/.
17. Sanitas Alteraciones en los huesos maxilares: información general sobre cirugía maxilofacial. Sanitas Salud. 2024. Disponible en: https://www.sanitas.es/biblioteca-desalud/salud-dental/cirugia/alteraciones-huesos-maxilares.
Artículos más leídos del mismo autor/a
- Diana Aparicio, María Arrocha, Lian Domínguez, Heysell Guerra, Alejandra Barria, Imagenología de la articulación temporomandibular y su aplicación para el diagnóstico de trastornos articulares , Contacto Científico: Vol. 3 Núm. 1 (2023): Contacto Científico
- Andrea Saavedra , Michael Chen , Nathalia González , Sarah Byrne , Alejandra Barria , Uso de la inteligencia artificial para el análisis de radiografías retroalveolares , Contacto Científico: Vol. 5 Núm. 1 (2025): Contacto Científico
- Alejandra Barría , Krishna Buxani , Gabriela Martínez , Celenia Porras , Brandon Quiro, Katherine Ruiz , Marisel Sousa , Odontoma Compuesto: , Contacto Científico: Vol. 1 Núm. 1 (2021): Contacto Científico
- Deysi Li, Daniela Perez, Valerin Marin, Angelina Tangarife, Alejandra Barría, La Osteomielitis de Garrè: Un desafío diagnóstico frente al Sarcoma de Ewing , Contacto Científico: Vol. 5 Núm. 2 (2025): Contacto Científico









