Manejo ortodóncico de una mordida cruzada anterior en paciente con tendencia a clase III esqueletal
La mordida cruzada anterior en dentición mixta puede ser un indicador temprano de una discrepancia esqueletal de clase III. Es importante resaltar que las mordidas cruzadas anterior se pueden clasificar en verdaderas, falsas y dentales. Las primeras son aquellas que tienen un patrón hereditario de clase III esqueletal. Las falsas son aquellas que, por la presencia de una interferencia oclusal, la mandíbula se adelanta. Y las dentales son aquellas que ocurren porque los incisivos superiores permanentes erupcionan con una inclinación palatina o los incisivos inferiores permanentes erupcionan con una inclinación vestibular. El diagnóstico diferencial se obtiene realizando el trazado cefalométrico y manipulando la mandíbula hacia atrás. Este caso clínico describe el manejo interceptivo temprano de un paciente masculino de 7 años y 9 meses con tendencia esqueletal a clase III, tratado con un aparato removible de ortodoncia llamado arco de Eschler o arco labial invertido. Además, se adiciono un tornillo triple de expansión para no solo controlar el movimiento sagital, sino que estimular el crecimiento transversal del maxilar superior. El período activo de tratamiento fue de 8 meses y se lograron los objetivos de tratamiento que eran descruzar la mordida cruzada anterior y disminuir el apiñamiento.
Descargas
Caso Clínico
Manejo
ortodóncico de una mordida cruzada anterior en paciente con tendencia a clase
III esqueletal
Orthodontic
management of anterior crossbite in a patient
with skeletal class III
Francis Urriola
Universidad de Panamá, Facultad de Odontología, Panamá
https://orcid.org/0009-0009-3384-473X francis.urriola@up.ac.pa
Recepción: 25
julio de 2025
Aceptación: 30 de octubre de 2025
DOI https://doi.org/10.48204/2710-7825.9527
Resumen
La mordida cruzada anterior en dentición mixta puede ser un indicador temprano de una discrepancia esqueletal de clase III. Es importante resaltar que las mordidas cruzadas anterior se pueden clasificar en verdaderas, falsas y dentales. Las primeras son aquellas que tienen un patrón hereditario de clase III esqueletal. Las falsas son aquellas que, por la presencia de una interferencia oclusal, la mandíbula se adelanta. Y las dentales son aquellas que ocurren porque los incisivos superiores permanentes erupcionan con una inclinación palatina o los incisivos inferiores permanentes erupcionan con una inclinación vestibular. El diagnóstico diferencial se obtiene realizando el trazado cefalométrico y manipulando la mandíbula hacia atrás. Este caso clínico describe el manejo interceptivo temprano de un paciente masculino de 7 años y 9 meses con tendencia esqueletal a clase III, tratado con un aparato removible de ortodoncia llamado arco de Eschler o arco labial invertido. Además, se adiciono un tornillo triple de expansión para no solo controlar el movimiento sagital, sino que estimular el crecimiento transversal del maxilar superior. El período activo de tratamiento fue de 8 meses y se lograron los objetivos de tratamiento que eran descruzar la mordida cruzada anterior y disminuir el apiñamiento.
Palabras clave: mordida cruzada anterior, clase III, ortodoncia interceptiva, arco de Eschler
Abstract
Anterior crossbite in the mixed dentition can be an early indicator of a Class III skeletal malocclusion. It is important to highlight that anterior crossbites can be classified as true, false, and dental. True crossbites are those with a hereditary Class III skeletal pattern. False crossbites occur due to an occlusal interference, causing the mandible to protrude. Dental crossbites occur because the permanent maxillary incisors erupt with a palatal inclination or the permanent mandibular incisors erupt with a buccal inclination. The differential diagnosis is obtained by performing cephalometric tracings and manipulating the mandible posteriorly. This clinical case describes the early interceptive management of a 7-year-9- month-old male patient with a skeletal tendency toward Class III malocclusion, treated with a removable orthodontic appliance called an Eschler arch or inverted labial arch. In addition, a triple expansion screw was added to control sagittal movement and stimulate transverse growth of the maxilla. The active treatment period was 8 months, and the treatment objectives of correcting the anterior crossbite and reducing crowding were achieved.
Keyword: anterior crossbite, Class III, interceptive orthodontics, Eschler arch.
Introducción
La maloclusión es uno de los mayores problemas de salud pública y, según la Organización Mundial de la Salud, es el tercer problema más común en la población mundial después de la caries y la periodontitis. Entre las diferentes maloclusiones se encuentra la mordida cruzada anterior, que puede ser de origen dental, esquelético o funcional. Esta puede desencadenar alteraciones en el desarrollo del sistema estomatognático si no es tratada a tiempo. El tratamiento interceptivo temprano en pacientes en crecimiento permite mejorar las relaciones intermaxilares, prevenir futuras complicaciones ortodóncicas mayores y aprovechar el potencial de crecimiento para guiar el desarrollo facial. El uso de aparatos como el arco de Eschler con tornillo triple constituye una alternativa eficaz para el manejo ortodóncico de estos casos.
Caso Clínico
· Paciente masculino de 7 años y 9 meses.
· Motivo de consulta: “Deseamos continuar atendiendo a mi hijo para que le pongan un aparato que le falta y le arreglen los dientes”.
· Ganglios linfáticos: no presenta dolor ni puntos gatillo.
· Músculos masticatorios: borla del mentón hiperactiva.
· ATM: no presenta ruidos ni dolor articular.
· Glándulas salivales mayores: permeables sin induraciones.
· Piel de cara y cuello: sin lesiones.
Análisis facial: El paciente presenta una forma de cara mesofacial con asimetría frontal leve. Los tercios faciales muestran diferencias en longitud (25 mm, 30 mm y 58 mm), mientras que los quintos faciales son simétricos. Se observa mentón prominente, nariz mesorrina y perfil convexo, acompañado de ojos de forma almendrada.
![]()
![]()

Figura 1. Extraoral de frente Figura 2. Perfil del paciente
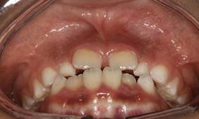
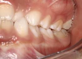
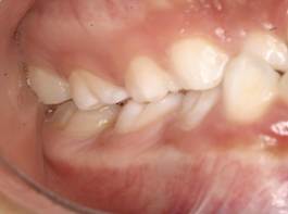
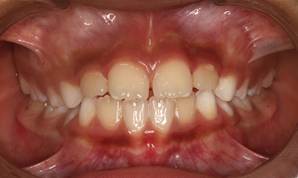
Análisis intraoral: Al observar la boca del paciente nos encontramos que la mucosa está húmeda y lubricada con pigmentación melánica, el frenillo es de inserción mucosa; hay poca inflamación de las encías. El paladar duro es profundo. El paciente está en dentición mixta, existe una mordida cruzada anterior con apiñamiento en el sector anteroinferior. En el arco superior se observa un diastema entre los incisivos centrales superiores permanentes, también se observa que estos dientes están ligeramente rotados. La relación molar de ambos lados es de clase III y la relación de los caninos deciduos también es de clase III.

Fig.3 Fotografía intraoral de frente Fig.
4 Fotografía intraoral de 45°

Fig. 5 Fotografía intraoral lado derecho Fig. 6 Fotografía intraoral lado izquierdo
Análisis de los modelos: El arco superior tiene forma de U. El arco inferior tiene más una forma rectangular y en la vista oclusal, se confirma el apiñamiento de los incisivos inferiores permanentes. La discrepancia en el arco superior nos dio de -1.2 mm y en el arco inferior fue de -2mm.

Fig. 7 Modelo superior en una vista oclusal Fig. 8 Modelo inferior es una vista oclusal
Radiografía lateral de cráneo
Fig. 9 Telerradiografía lateral de cráneo, cefalometría y los valores obtenidos
Análisis cefalométrico: Al analizar los valores que se observan en la figura 9 podemos determinar que el paciente presenta una clase I esqueletal con una biretrusión osea. La rotación de la mandíbula es normal y el incisivo superior permanente está ligeramente inclinado hacia vestibular. El incisivo inferior permanente con respecto al plano mandibular está normal.
Radiografías
Las radiografías periapicales y la panorámica mostraron un desarrollo dental de un paciente de 7 años. (Fig. 10, 11 y 12)

Fig. 10 Radiografía Panorámica inicial
Fig.
11
Rx periapicales incisivos Fig. 12 Rx
periapicales molares y de mordida
Diagnóstico
· Clase I esqueletal con tendencia a clase III.
· Clase III dental con mordida cruzada anterior.
· Apiñamiento dental en dentición mixta.
· Sin presencia de hábitos parafuncionales.
Plan de tratamiento
Objetivos:
· Corregir la mordida cruzada anterior.
· Mejorar el problema transversal.
· Evitar el avance de la discrepancia esqueletal.
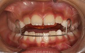
Aparatología utilizada:
· Arco de Eschler con tornillo triple.
Secuencia de tratamiento:
· Fase I: Eliminación de focos infecciosos. Se realizaron sellantes y profilaxis.
o Toma de registros iniciales para confección de aparatología.
o Colocación y activación del tornillo triple.
o Citas periódicas para control y activación del tornillo triple.
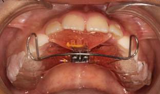
Indicaciones del aparato

Fig. 13 Vista frontal del aparato de Eschler Fig. 14 Vista de 45° con el aparato de Eschler
El arco de Eschler con tornillo triple debe usarse entre 18 y 20 horas diarias, incluyendo durante el sueño, y retirarse solo para comer, cepillarse y hacer deporte. Debe limpiarse a diario con cepillo suave y jabón neutro o pasta dental, y guardarse en su caja rígida cuando no se use. No debe mojarse con agua caliente ni dejarse al sol.
Se le indica al paciente y su acudiente que las activaciones del tornillo se harán en consulta, siguiendo indicaciones precisas del ortodoncista. También que es fundamental asistir puntualmente a los controles periódicos y se requiere del compromiso de ambas partes para lograr el objetivo del tratamiento, ya que el mismo depende en gran parte del uso constante, la buena higiene y el cumplimiento de las indicaciones.
Avance del tratamiento
· Primera cita (30/10/2024): Colocación de aparatología y ajustes de oclusión.
· Segunda cita: Se activó ¼ de tornillo triple.
· Tercera cita: Se activó ½ de los tornillos de expansión.
· Cuarta cita: Se activó ¼ del tornillo triple y se realizó profilaxis con aplicación de flúor.
· Quinta cita: Se activó ½ del tornillo triple.
· Sexta cita: Se activó ½ del tornillo triple y se realizaron desgastes en mesial de caninos inferiores deciduos.
· Séptima cita: Se activó 1 mm del tornillo de protrusión.
· Octava cita: Se activó ½ del tornillo de protrusión.
· Novena cita: Se activó ¼ del tornillo de protrusión y se realizó profilaxis con aplicación de flúor.
· Décima cita: Se activó ½ del tornillo triple.
· Undécima cita: Se activó ¼ del tornillo de protrusión.
· Duodécima cita: Se retrocedió ½ del tornillo de protrusión y se realizó rebase.
· Décimo tercera cita: Se activó ½ del tornillo de protrusión.
· Décimo cuarta cita (01/07/2025): Se indica Fase IV de ortodoncia.
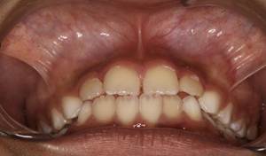
Luego de 9 meses se logra expandir el maxilar superior y protruir los incisivos superiores, eliminando la mordida cruzada anterior.

Fig. 15 Intraoral de frente final Fig. 16 Intraoral de 45° final
Discusión
El arco de Eschler con tornillo triple es un dispositivo ortopédico funcional utilizado frecuentemente en el tratamiento de maloclusiones de Clase III en pacientes en crecimiento, especialmente cuando hay una mordida cruzada anterior funcional y una tendencia a clase III esquelética moderada. La literatura ortodóncica ha documentado su uso principalmente en el contexto de intervención temprana, con el objetivo de redireccionar el crecimiento mandibular y estimular el desarrollo maxilar, aprovechando el potencial de crecimiento facial del paciente.
Autores como Graber, Vanarsdall y Vig (1) sostienen que los tratamientos ortopédicos funcionales son más efectivos cuando se aplican durante la etapa de crecimiento activo, ya que es posible modificar patrones esqueletales antes de que se consoliden (1). El arco de Eschler actúa limitando el desplazamiento mandibular anterior mediante su diseño vestibular y activa la expansión transversal a través del tornillo medio o triple, lo cual permite mejorar el perímetro maxilar y romper el contacto prematuro anterior.
En estudios comparativos con otros aparatos funcionales, como el Bionator modificado o la máscara facial, el arco de Eschler presenta ventajas como simplicidad de uso, baja dependencia del cumplimiento del paciente, y una menor afectación estética, lo que mejora la aceptación clínica (2,3). Sin embargo, sus efectos ortopédicos son más limitados en casos de clase III esquelética severa, especialmente cuando la discrepancia ósea mandibular es marcada o si hay una herencia genética fuerte.
Un beneficio clave del tornillo triple es que permite la expansión maxilar simultánea en los sectores anterior, medio y posterior, lo cual es útil en pacientes con estrechez maxilar generalizada. Estudios como los de Paredes et al. (4) destacan que el control tridimensional que ofrece el tornillo triple favorece una mejor adaptación del arco dentario superior al inferior y reduce el riesgo de recidiva de la mordida cruzada anterior.
En cuanto a las limitaciones, el aparato requiere un alto grado de cooperación, ya que debe usarse 18–20 horas al día para lograr cambios clínicos visibles. Además, si no se acompaña de un control adecuado del crecimiento mandibular, la corrección puede ser solo dental y no esqueletal, lo cual limita su efectividad a largo plazo (5).
Finalmente, la literatura coincide en que la intervención temprana con aparatología funcional como el arco de Eschler mejora el pronóstico a largo plazo, reduce la necesidad de tratamientos ortodóncicos o quirúrgicos más invasivos en la adolescencia, y puede mejorar significativamente la autoestima del paciente (2,1).
Conclusiones
Fue fundamental la intervención temprana para
prevenir la progresión de alteraciones asociadas al crecimiento y desarrollo en
una paciente con mordida cruzada anterior de origen dental, lo que permitió
abordar el problema en una etapa favorable. A lo largo del tratamiento, se
logró la corrección del componente transversal, restableciendo una relación
oclusal más adecuada y funcional. Asimismo, la aparatología empleada fue bien
tolerada y aceptada por la paciente, lo que facilitó su uso constante y
contribuyó de manera positiva a la evolución del tratamiento y a la obtención
de resultados satisfactorios.
Referencias bibliográficas
1. Graber, L. W., Vanarsdall, R. L., & Vig, K. W. L. (2016). Orthodontics: Current Principles and Techniques. 6th ed. Elsevier.
2. Proffit, W. R., Fields, H. W., & Sarver, D. M. (2019). Contemporary Orthodontics. 6th ed. Elsevier.
3. Moyers, R. E. (1991). Handbook of Orthodontics. 4th ed. Year Book Medical Publishers.
4. Paredes Gallardo, V., Cibrián Ortiz de Anda, R., Gandía Franco, J. L., & Bellot‐Arcís, C. (2013). Cambios esqueletales y dentales producidos por el arco de Eschler modificado en pacientes con clase III. Ortodoncia Española, 53(3), 145–152.
5. McNamara, J. A. (2000). Early intervention in the transverse dimension: is it worth the effort? American Journal of Orthodontics and Dentofacial Orthopedics, 117(5), 561–564. https://doi.org/10.1067/mod.2000.103341